Texas Dental Solutions
Get My Consultation
Photo Gallery Testimonials Patient Forms Contact
Dental Exams and Cleanings Oral Cancer Dental Implant Services Cosmetic Dentistry Porcelain Veneers Porcelain Crowns (Caps) Composite Fillings Porcelain Fixed Bridges Worn Dentition Dentures/Partial Dentures Anesthesia Services
Dr. Imitola Dr. Barbash Dr Barbash intro Our Team What is a Prosthodontist? Our Practice Office Policies Tour the Offices Home Page
Services Dental Exams and Cleanings Oral Cancer Dental Implant Services Cosmetic Dentistry Porcelain Veneers Porcelain Crowns (Caps) Composite Fillings Porcelain Fixed Bridges Worn Dentition Dentures/Partial Dentures Anesthesia Services Get My Consultation
Texas Dental Solutions
Specialty Prosthodontics in Dallas and Flower Mound
About Dr. Imitola Dr. Barbash Dr Barbash intro Our Team What is a Prosthodontist? Our Practice Office Policies Tour the Offices Home Page Photo GalleryTestimonialsPatient FormsContact
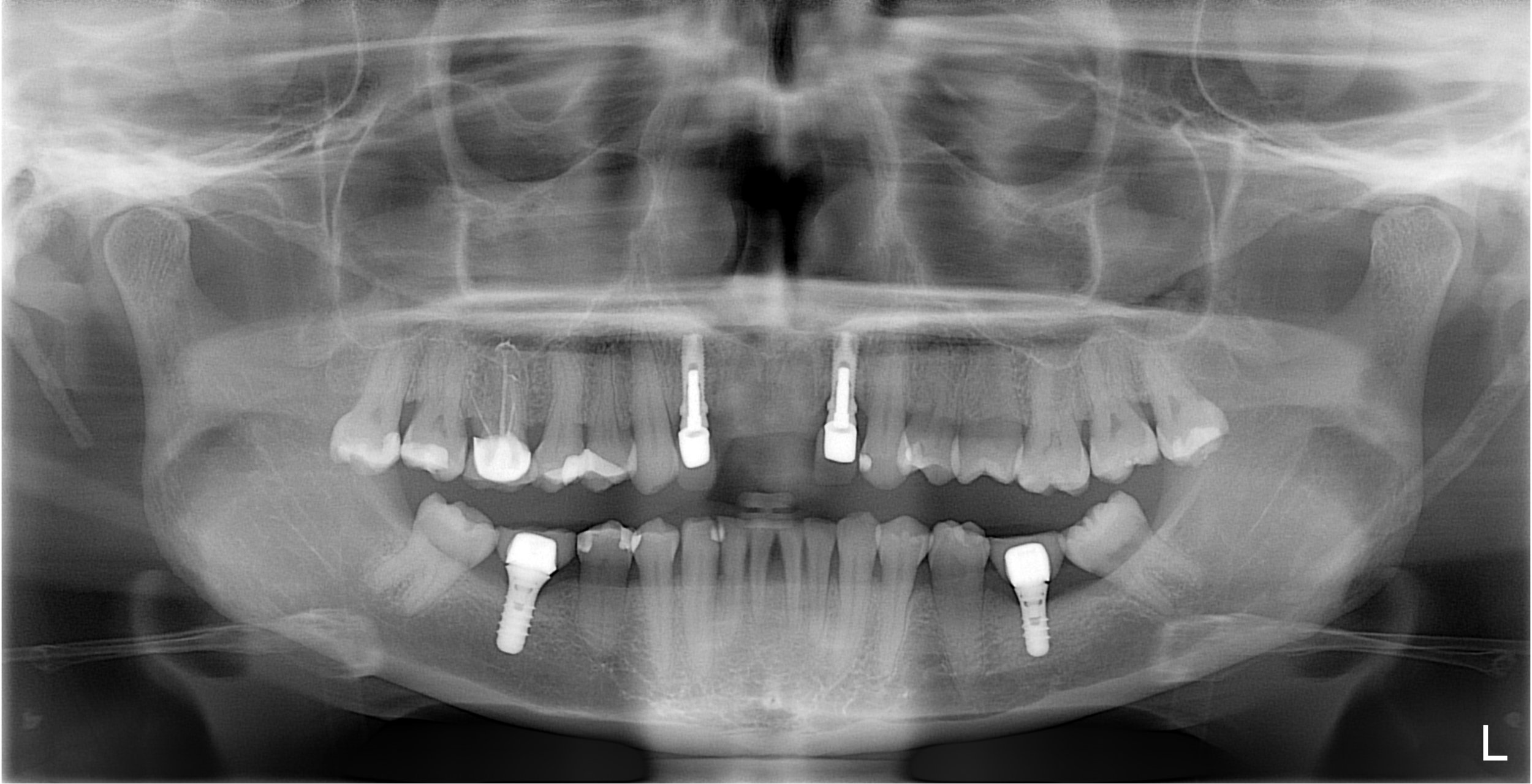
Pre X-Ray
Before

Before

After

After

1 2
Previous Next
Before
After
 

Get your personalized consultation today!

SE HABLA ESPAÑOL !

 
Dr. Bruce Barbash DDS
10 Medical Parkway, #302,
Farmers Branch, TX 75234
(972) 241-7917 drbarbash@texasdentalsolutions.com
Hours
Mon 8am - 5pm
Tue 8am - 5pm
Wed 8am - 5pm
Thu 8am - 5pm
Fri Closed
Sat Closed
Sun Closed

About

Dr. Imitola

Dr. Barbash

What is a Prosthodontist?

Our Practice

Our Team

Office Policies

Services

Dental Implant Services

Non-Implant Dental Services

Oral Cancer

Anesthesia Services

Support

Contact Us

Patient Forms

More

Photo Gallery

Testimonials

 
acp_logo.png
aamp_logo.png
ada_logo.png
abp_logo.png
tda_logo.png
sirona_logo.png
Spear.png
3Logo.JPG