Services
Get My Consultation
About
Photo Gallery
Testimonials
Patient Forms
Contact
Back
Dental Exams and Cleanings
Oral Cancer
Dental Implant Services
Cosmetic Dentistry
Porcelain Veneers
Porcelain Crowns (Caps)
Composite Fillings
Porcelain Fixed Bridges
Worn Dentition
Dentures/Partial Dentures
Anesthesia Services
Back
Dr. Imitola
Dr. Barbash
Dr Barbash intro
Our Team
What is a Prosthodontist?
Our Practice
Office Policies
Tour the Offices
Home Page
Services
Dental Exams and Cleanings
Oral Cancer
Dental Implant Services
Cosmetic Dentistry
Porcelain Veneers
Porcelain Crowns (Caps)
Composite Fillings
Porcelain Fixed Bridges
Worn Dentition
Dentures/Partial Dentures
Anesthesia Services
Get My Consultation
Specialty Prosthodontics in Dallas and Flower Mound
About
Dr. Imitola
Dr. Barbash
Dr Barbash intro
Our Team
What is a Prosthodontist?
Our Practice
Office Policies
Tour the Offices
Home Page
Photo Gallery
Testimonials
Patient Forms
Contact
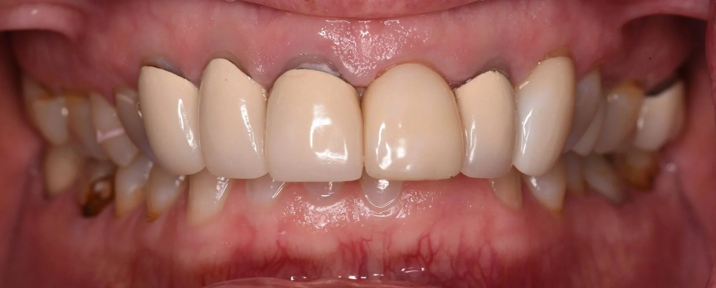
Before
After